
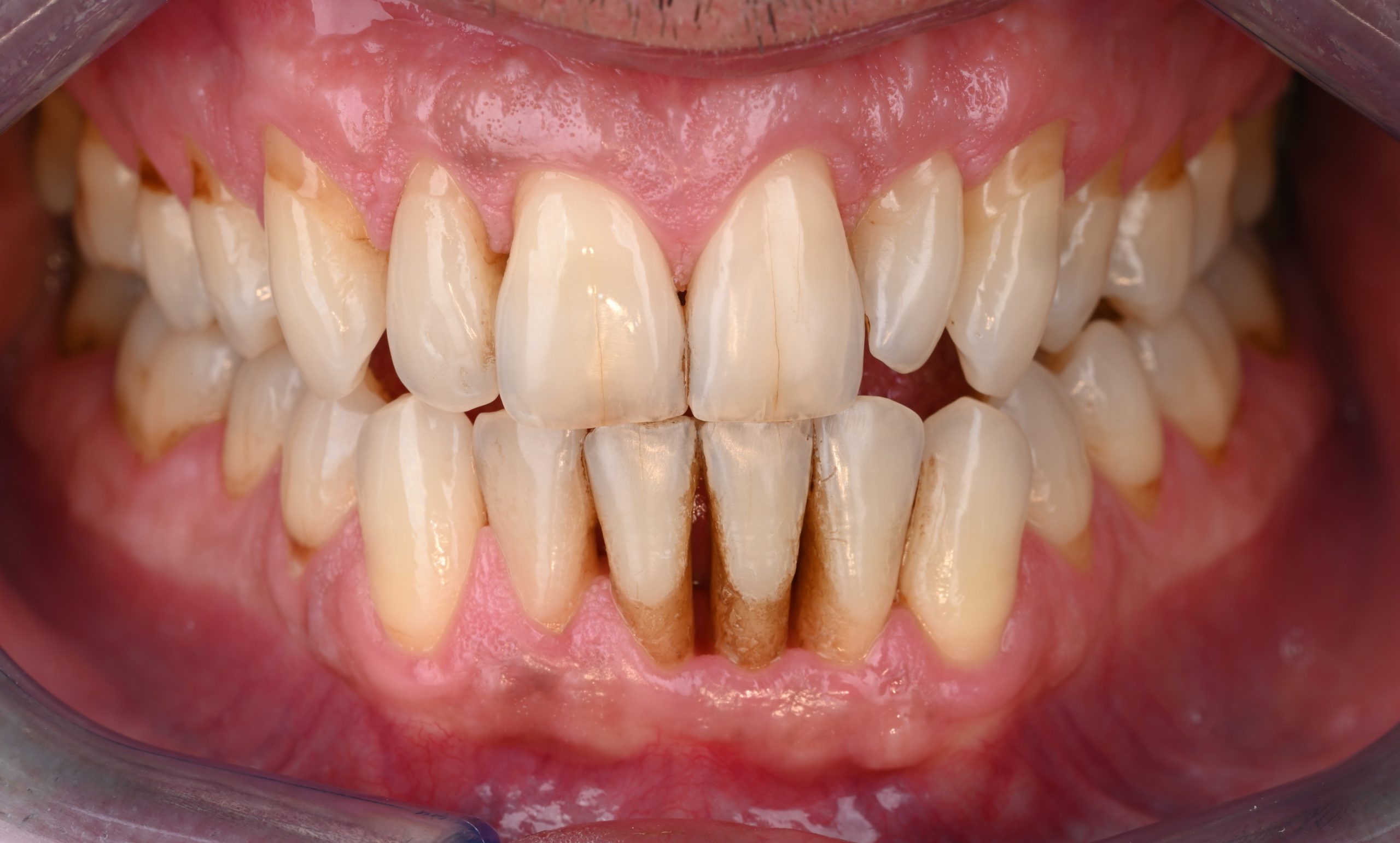
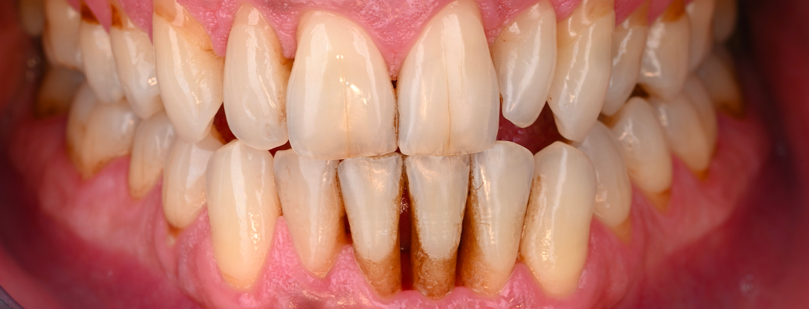
La parodontite, anciennement appelée “déchaussement des dents”, est une évolution de la gingivite, lorsque l’inflammation atteint les structures plus profondes autour de la dent.
Concrètement :
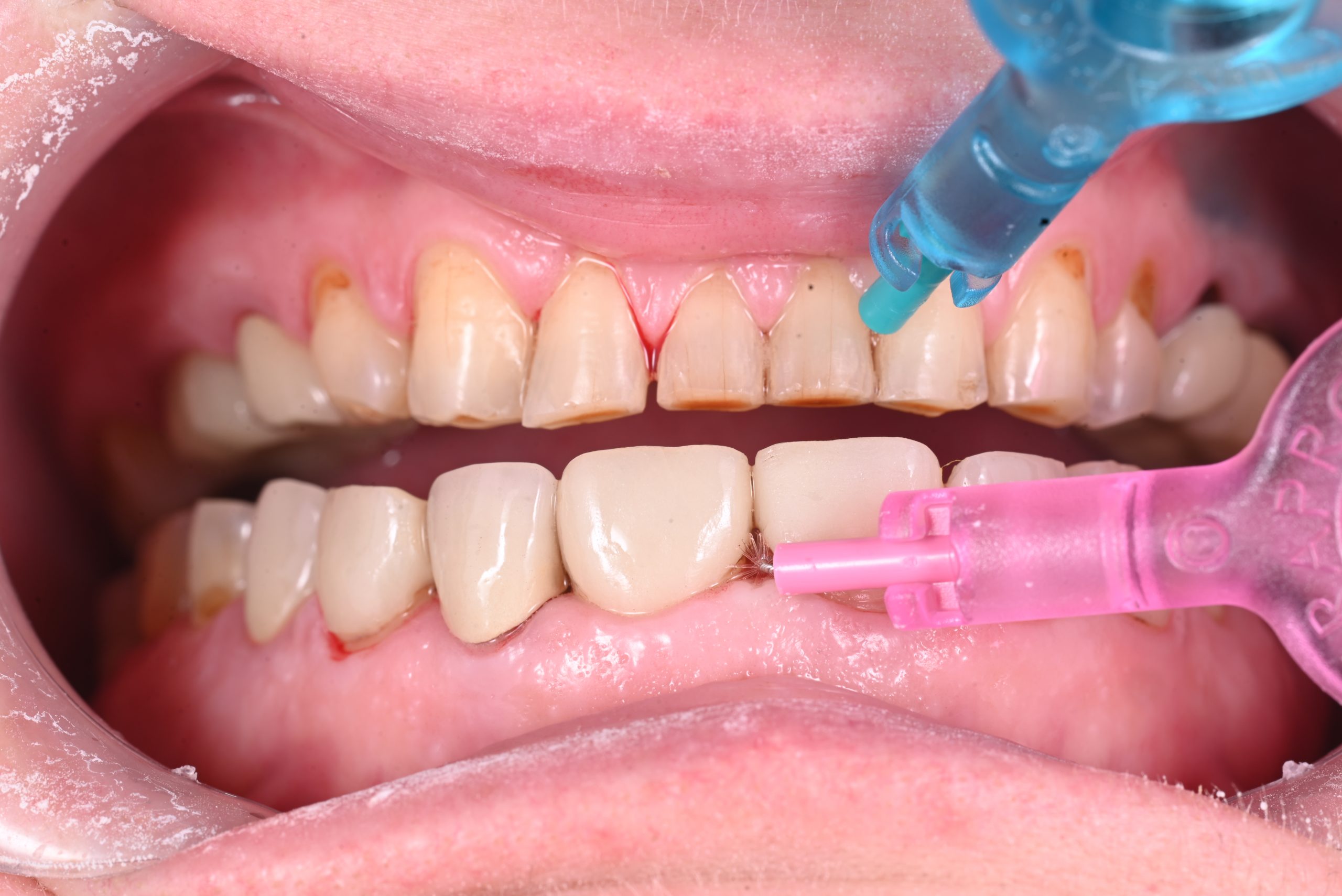
Les bactéries s’infiltrent sous la gencive.
Elles attaquent l’os et les tissus qui maintiennent la dent.
Des poches parodontales se forment.
La dent devient mobile, et peut finir par tomber si rien n’est fait.
Quels sont les symptômes de la parodontite ?
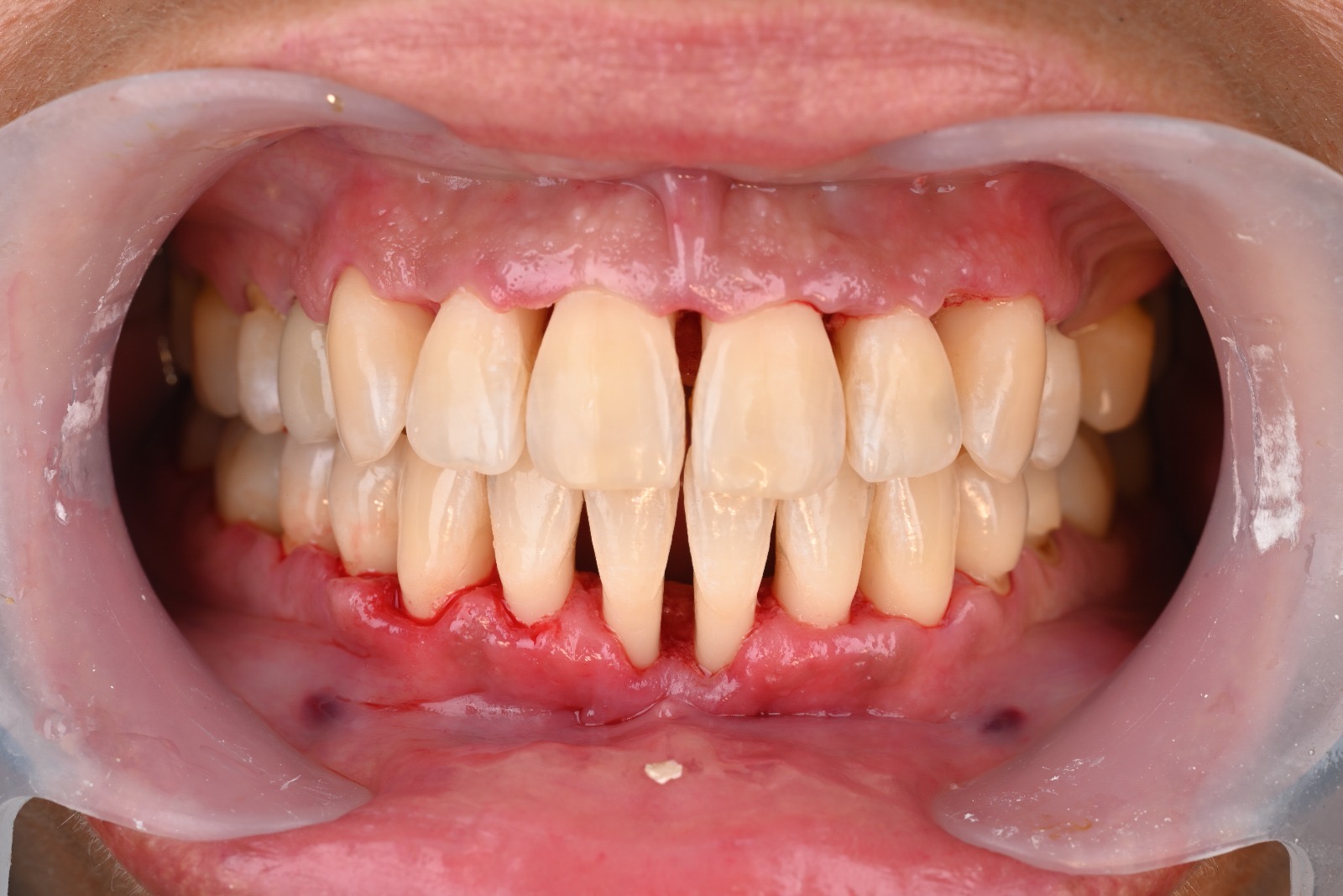
Gencives rouges, gonflées, qui saignent facilement.
Mauvaise haleine persistante.
Sensation de dents qui bougent.
Espaces qui se créent entre les dents.
Rétraction de la gencive (dents qui paraissent plus longues).
Parfois, aucune douleur : la maladie peut évoluer silencieusement.






