
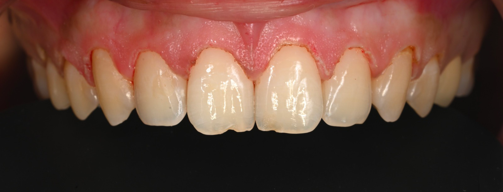
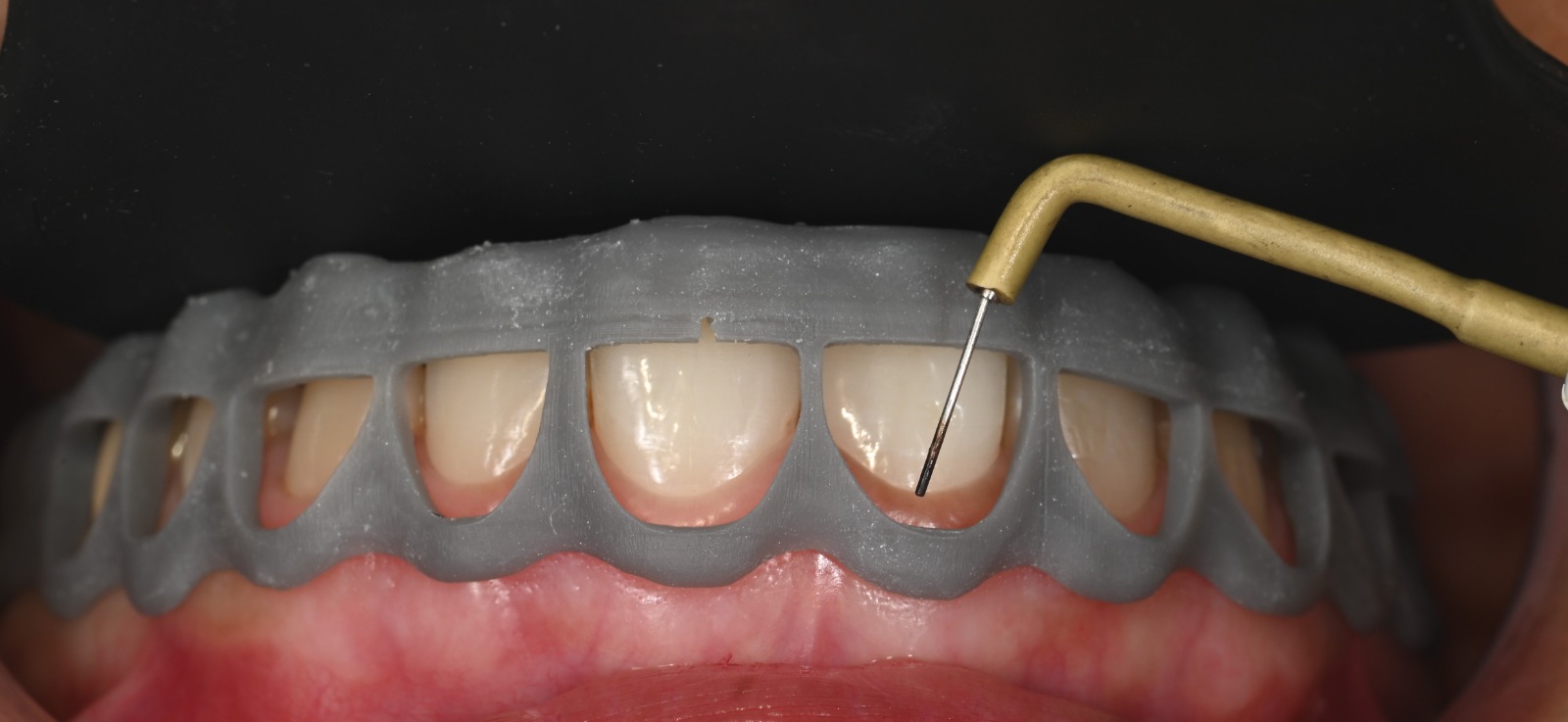
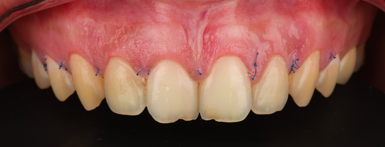
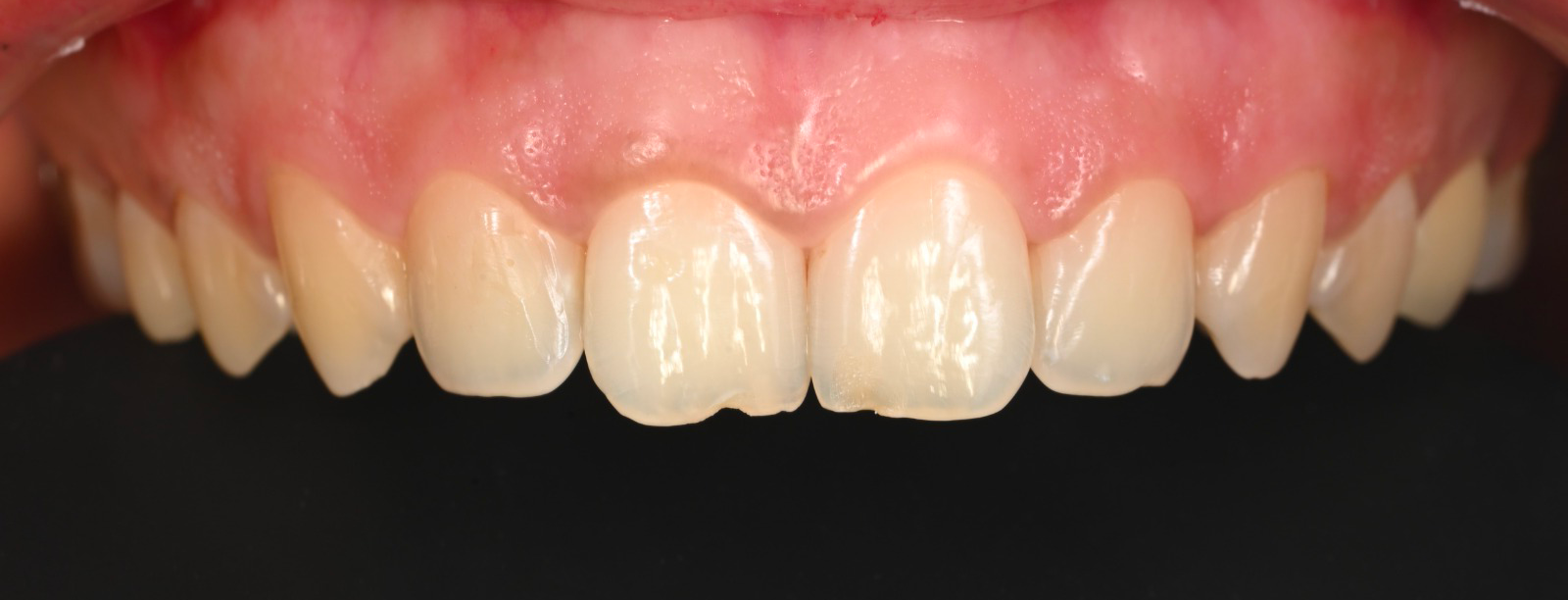
L’élongation coronaire consiste à repositionner la gencive (et parfois l’os sous-jacent) afin de découvrir davantage la surface de la dent, appelée couronne clinique.
Elle peut être réalisée pour deux grands types d’indications :
Fonctionnelle : lorsqu’une dent cassée ou cariée sous la gencive doit être restaurée (couronne, inlay, composite, etc.).
Esthétique : lorsqu’un excès de gencive donne un aspect de sourire gingival (ou “gummy smile”).





