
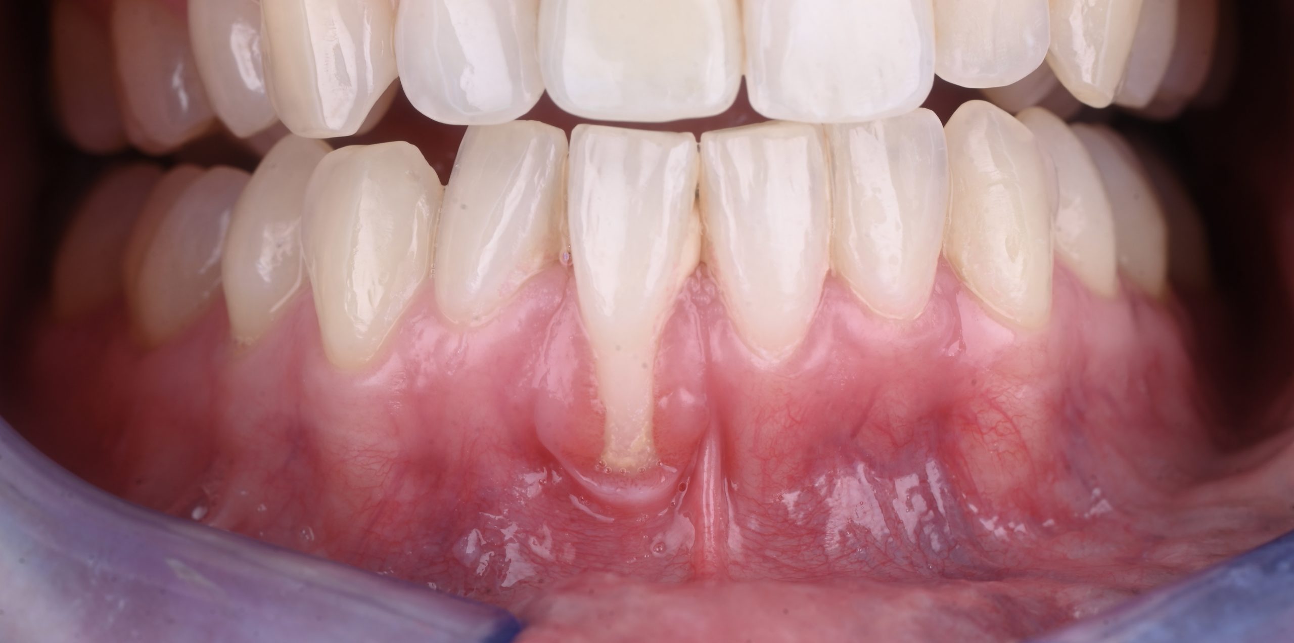
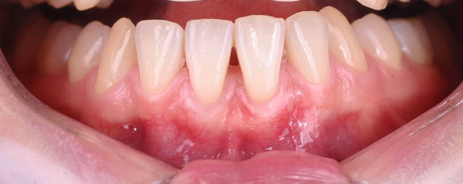
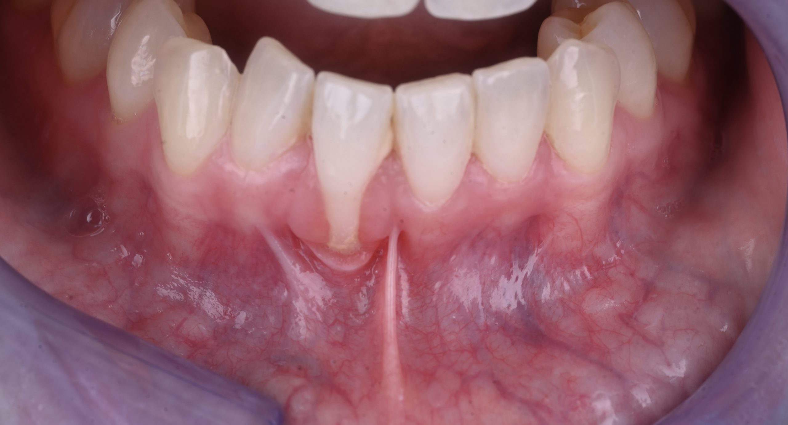
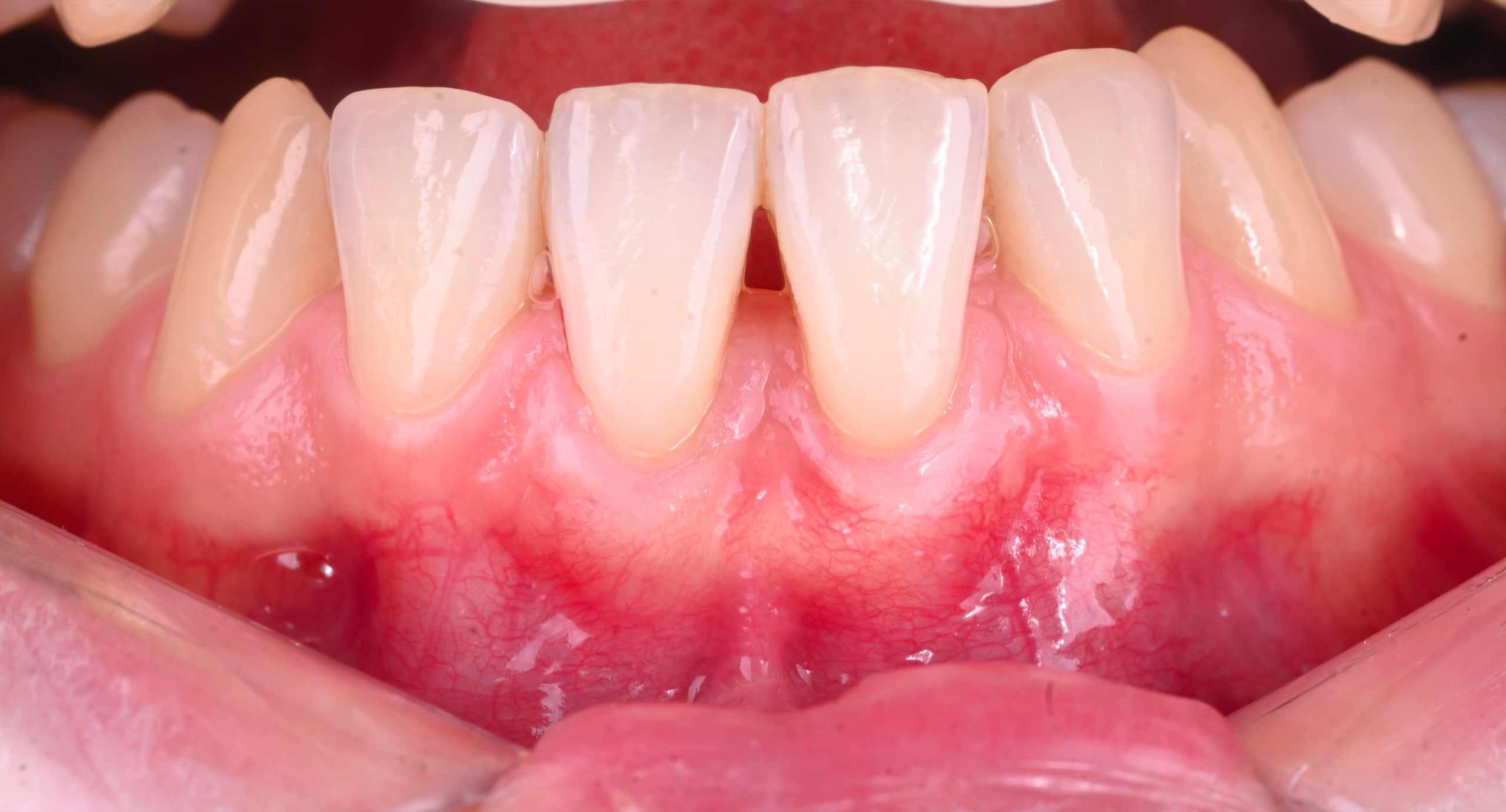
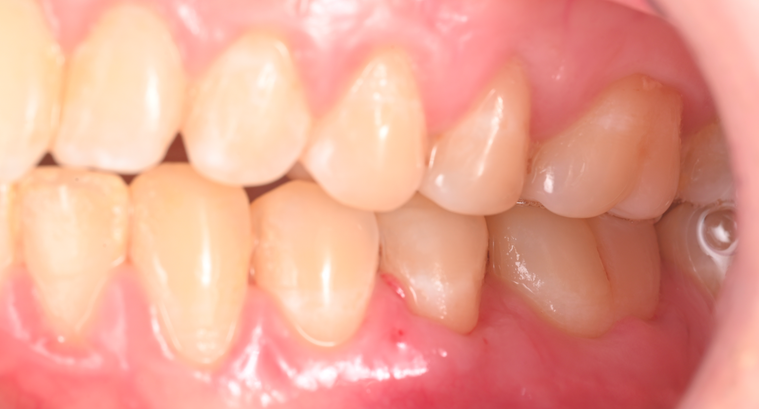
La récession gingivale correspond à un retrait progressif de la gencive qui expose la racine de la dent. Cela peut provoquer :
Une sensibilité accrue au chaud et au froid.
Une gêne esthétique (dents plus longues).
Un risque de caries radiculaires ou de perte d’attache.
Une fragilité osseuse à long terme.






