Soin des gencives : Gingivite

Soins des gencives : prévenir et traiter la gingivite

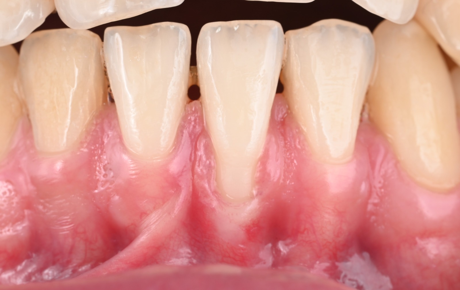
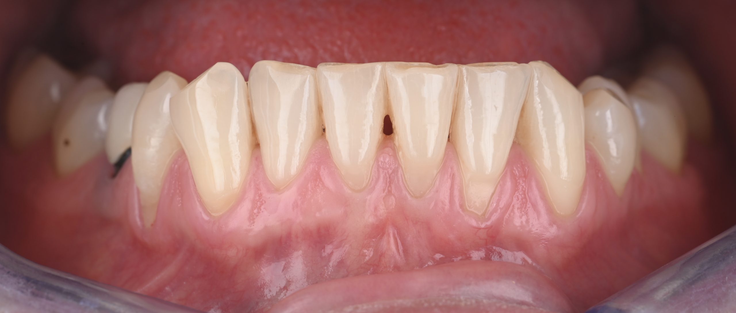
La gingivite est la forme la plus courante d’inflammation des gencives. Elle se traduit souvent par des gencives rouges, gonflées et qui saignent au brossage. Elle est généralement provoquée par l’accumulation de plaque dentaire et peut évoluer vers une parodontite si elle n’est pas prise en charge. Le traitement repose sur un détartrage professionnel associé à une amélioration de l’hygiène bucco-dentaire quotidienne. Avec un suivi adapté, la gingivite est réversible et permet de retrouver des gencives saines et résistantes.

Dr Jordan Pléchot

Spécialiste en Parodontologie

« Face à une gingivite, je commence par un détartrage complet puis j’explique au patient les bons gestes d’hygiène à adopter.

Un suivi régulier permet de contrôler l’évolution et d’assurer le retour à des gencives saines. »

Avant
Après
After
Before